Sito dei corsi
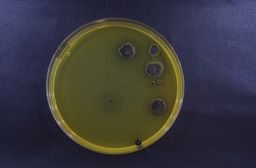
La prima foto del coperchio è per identificazione del campione, la seconda mostra la semina